いこの歯科クリニック 北九州市門司区藤松3丁目1-9 イコノス1993 2F

Dental Clinic

>>>>スマートフォンサイトはこちらへ
お問い合わせは>>ikonoshika@gmail.com

電話093-391-1238

初めて来院される患者さんへ

患者さんとスタッフ間の信頼関係に立脚した治療を行うことで、
   可能な限り患者さんのニーズにお応えして、満足していただきたい。
      それが私たち[ いこの歯科クリニック]の目指す診療です。

歯科治療の進歩はめざましいものがございます。当院はその最先端を目指しています。
そしてさまざまな治療のメニューをご用意いたしております。
例えば
できるだけ患者さん御自身の歯が丈夫で長持ちして、健康になっていただけるようPMTCなど予防歯科や歯周病治療、歯並びや見た目をよくするための矯正治療や審美歯科治療、ホワイトニング・・・・待合室そして不幸にも歯を失ってしまった方には義歯やインプラント治療・・・
このようにすべての患者さんのお口に関するあらゆる要望にお答えできるようスタッフ一同日々研鑽し、準備を整えております。
 一方で押し付けの治療でなく、「患者さんの希望を尊重し、われわれはプロフェッショナルとしてのアドバイスをさせていただき、患者さんに治療法を選択していただく」というスタンスで臨んでおります。

 お口の中は、毎日熱いものや硬いものを噛み、しかも細菌がいるという苛酷な環境下です。その中で日々の生活をしていただきながら,「噛み合わせ」や「見た目」を改善していかなければならない、という特殊性を歯科治療はもっています。
そこで、われわれには綿密な治療計画の下に、時間をかけて根気よく精密な仕事が要求されます。
特に、患者さんが気づかないような、一見地味な治療を手を抜かずにさりげなく行うことこそ、真のプロフェッショナルであると考えます。
 私どもは 全体のバランスを考えて、あなたにとって最良の歯科医療を提供できるよう治療計画を立てます。治療法はいくつかのオプションを御用意いたします。
十分御理解いただけるよう説明いたしますので、その中から選択(インフォームド・チョイス)してください。
納得していただいた上で治療を開始しましょう。
健康は皆様の大切な財産です。スタッフ一同、一生懸命サポートいたしますので、一緒に健康を増進していきましょう。
もし御不明な点がございましたら遠慮なく御質問ください。


今あなたが望んでいる治療を教えてください

 例えば、皆さんが家を新築するとします。
家を新築するには、まずどのような地盤かの検査に始まり、地震や水害に備えた地盤整備、基礎工事が大切です。基礎工事が終わって柱が立ち、棟上のころにやっと家らしくなります。
安全で長持ちする家を建てるには目に見えないところの工事が重要です。大工さんはスムーズに工事が進むよう総合的に段取りをすることでしょう。
もし、皆さんからからもっと工事を早くしてほしいと要求されたとしたらどうでしょう?
もし十分な工事が出来ず、大急ぎで建てた家が早く悪くなったときに困るのは誰でしょう?
新築を建てるなら、必要な工事は十分やってもらった方がよいのではないでしょうか。
一方、「今住んでいる建物が痛んでいるのは承知しているのだけれど、長持ちしなくても良いから見た目だけ早くリホームしたい。」とお考えになる方もいらっしゃると思います。
我々はその考え方を否定するものではありません。

歯の治療もまったく同じことが言えます。
 まずはご自身がどのような治療を御希望なのかお聞かせください。
そして、歯科医と治療のメリットデメリットをよく相談してご自分のライフスタイルをお考えになって、「今回は最小限の応急的な処置にして早く終るか」、「じっくり時間をかけて治療するか」、お決めになると良いと思います。


約束診療制について

歯科治療は 最適の時期と間隔があり綿密な治療計画の下で、時間をかけた精密な仕事が要求されます。
その時間を十分確保して、質の高い治療を行うために、当院では約束制で診療いたしております。
また、学会参加や往診などの理由により院内での診療時間を変更させていただく場合があります。

ご来院の際は事前に電話(093-391-1238)か、メール(ikonoshika@gmail.com)にて御確認、御約束くださいますようお願い申し上げます。
事前にお約束いただいた時間の5分前に来院いただければ、お待ちいただくことなく効果的に治療することができます。
(初診の場合は約15分前にご来院いただき、問診票などを記入していただきます)
ご理解を賜りますようよろしくお願いいたします。

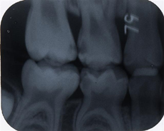
どうしてレントゲンや写真をとるのでしょう ?

正確な診断なしに適切な治療はあり得ません

歯の治療に限らず、病気を治療するときにまず大切なのは、今どのような状態になっているかを診断することです。
歯科治療は歯茎の中や歯の中のような見えない部分を治療することが多くあります。「レントゲンを撮影しないで歯科治療を行うことは、目隠しをして治療をするようなもの」といっても過言ではないと思います。 レントゲン写真で中の状態を診断することは必要不可欠なことです。

クリックで拡大
デンタルX線写真
パノラマX線写真
歯のレントゲン写真
そこで当院においては患者さんがご覧になっても理解し易い、鮮明なレントゲンを得るために、インジケーターという簡単な器具を使用してレントゲンを撮影いたします。
お口全体の虫歯や歯周病の検査のために当医院ではパノラマX線写真や10枚法という方法を使っています。
10枚法は細かいところの歯の異常等を発見するのに最も適しています。 歯科用のレントゲンによる10枚法の撮影被爆量は安全基準をはるかに下まわっておりますのでご安心ください。

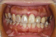
お口の中の写真撮影もレントゲン撮影同様さまざまな情報を歯科医や患者さんに提供してくれます。
 治療を開始する前やその時々に必要な「かみ合わせ」や、「歯ぐきの状態」などの記録を撮っておくことは治療を進めていく上でも、その患者さんの過去と現在の状態を比較する上でも有効です。
治療後にメインテナンスしていく上でも、その経過の写真やレントゲンは大変参考になります。特に、審美歯科治療や矯正治療、歯周治療の場合、歯科技工士や歯科衛生士と患者さんがお口の中の状態を共有し、情報伝達することで、さらにレベルの高い治療が可能になります。
治療前の写真
治療後の写真

歯科医にとりましても過去の自分の治療を振り返ることで能力の向上をはかり、さらに効果的で、ハイレベルな治療を患者さんに提供できるようになります。 御理解と御協力をお願いいたします。





 個人情報保護の義務は当然歯科医師にあります。院長が学会や講演、論文掲載等で、患者さんのレントゲン写真等使わせていただくことがありますが、当然事前に患者さんの承諾を得るようにいたしております。
安心してレントゲンや写真の検査を受けて下さい。
 ちなみに一部の例外を除いて、写真撮影をしたからと言って、健康保険等で医院に収入はありません。
患者さん御自身のため、当院のレベルアップ、そして歯科医学の向上のために御協力、御理解をくださいますようお願いいたします。


あなたのお体の情報を詳しく教えてください

歯の治療を行う上で、麻酔の注射をしたり、お薬をお出しすることがあります。
以前飲まれたお薬で合わない物があったり、アレルギーのある方は歯科医やスタッフにお申し出ください。
また、全身的な病気のため、歯を抜いたり、外科処置を行うことの出来ない場合や、十分注意する必要がある場合があります。
例えば、心筋梗塞や脳梗塞でお薬を飲まれている場合、抜歯には十分注意が必要です。最近では骨粗しょう症のお薬を飲まれている方も多いですが、このような方や放射線治療の経験のある患者さんは抜歯などで重大なトラブルが起こることがあります。
現在病院にかかっている場合はもちろん、以前大きな病気をしたことや、高血圧などの生活習慣病に罹っておられる方はお申し出ください。
歯の治療だからと軽く考えずに、あなたのお体の状態を出来るだけ詳しく教えていただければ、それだけトラブルを未然に防ぐことが出来ます。

お子様の治療について

当院では「母子分離」での治療をお勧めしています。

 大切なお子様の歯の治療です。どのような治療が行われているか心配でしょう。
お子さんの横に付き添ってあげたい気持ちは十分理解できます。
しかしながら保護者の方が考えている以上にお子さんはおりこうで、しっかりしています。逆におかあさんが横にいることで、お子さんは戦略的に甘えて治療に協力してくれません。
いがいと保護者の方が横にいないときのほうがお利口にできます。治療の際 はスタッフが待合室まで迎えにまいります。御心配でしょうが保護者の方は治療が終わるまで待合室でお待ちください。(治療計画をご説明するときはお呼びします。またこっそり治療の様子をご覧になりたければスタッフにお申し出ください。)

当院ではラバ-ダムを装着しての治療をお勧めしています。

 お子様が不意に動いたりすると危険です、また小児の場合、唾液が多くお口の中は唾液で洪水状態です。ラバーダム 治療する歯に唾液が付くと接着剤等がうまく機能せず、詰め物がすぐ取れたりトラブルを起しやすくなります。
そこで安全にしかも治療をより確実なものにするために、お口にゴムのマスクのようなもの(ラバーダム)をして治療する歯だけ露出させて行う治療法をお勧めしています。

せめて最初の診察のときは保護者同伴で。

 現在では保護者の方もお仕事などで忙しく、なかなか時間が作れないのは十分理解できます。
保護者の方の方針と我々の考えが完全に一致するとは限りません。
保護者の方が来院されずに「先生にお任せ」して、後で、治療法や費用についてトラブルが起こるとお互いに不幸なことです。
我々も電話やお手紙などで保護者の方とのコミュニケーションに努めますが、せめて初診のときは保護者の方も一緒に来院いただき、歯科医の説明を聞いて患者さんともども納得の上で治療にとりかかることをお勧めします。
当院は小児歯科専門の医療機関ではありません。患者さんの十分な協力が得られない場合は治療できない場合があります。あらかじめお了承ください。

いこの歯科クリニックの取り組み

待ち時間ゼロを目指して

治療には最適の時期、最適の間隔があります。また、前もって予約していただき、約束した時間に来院していただければ、お待ちいだくことなく治療を開始でき、効果的に治療することができます。
そこで、当院では治療時間の約束をしていただいております。
 おかげさまで、患者さんより「待ち時間が少なくて、始まる時間と終わる時間が大体想定できるのでよい」とご好評をいただいております。 皆様の御理解、御協力に感謝いたします

わかりやすい説明を目指して

当院では、患者さんとの良好なコミュニケーション作りを心がけております。 そして、患者さん自身が、御自身の状況、治療の方針、結果、治療後の対応など十分御理解、納得していただくことを目指しています。
撮影したレントゲンや写真などをモニターで一緒に見ていただきながらのご説明や、実際に当院で行った治療例をみていただくことで、「わかりやすい」とご好評をいただいております。

クリーンで、快適な院内環境づくりに積極的に取り組んでおります

器具の滅菌などは当然のことながら、当院では開業以来、見えないところに空気清浄ユニットを埋め待合室込むなど、院内のクリーンで、快適な環境づくりに取り組んでいます。リラックスして治療を受けていただける環境づくりにスタッフ一同取り組んでおります。