いこの歯科クリニック 北九州市門司区藤松3丁目1-9 イコノス1993 2F

Dental Clinic

>>>>スマートフォンサイトはこちらへ
お問い合わせは>>ikonoshika@gmail.com

電話093-391-1238

診療案内

一般歯科

 当院では、保険診療、自由診療にかかわらず、基本に忠実な治療が第一と考えております。多くの虫歯や歯周病は歯科医院のスタッフと患者さんが協同で地道にコツコツ治療してゆけば、健康保険の治療でも満足いただけることが多いと思います。
一方で、患者さんのニーズにこたえることが出来るよう常に最新技術を学び、高いレベルの治療を提供できるようスタッフ一同日々努力しております。
 近年、お口の健康と、糖尿病や肝臓病、肺炎といった全身の健康には密接な関係があることが徐々に明らかになってきました。
皆様のお口の健康を回復するお手伝いをして、全身の健康維持に役立てることを願っています。

 

無痛治療を目指して

 

歯に治療で皆さんが一番希望されるのは「痛くなく」ではないでしょうか。
当院ではできるだけ患者さんに痛みを感じることなく治療を行うことを目指しています。その取り組みのひとつとして麻酔があげられます。
当院ではまず、歯ぐきの表面に表面麻酔行うことで、針を刺された感じがしない
電動注射器を用いて、麻酔薬の注入速度をを最適にコントロールする
細い針を用いることで、より違和感なく注入する
など様々な取り組みで、痛くない治療を目指しております。


↑このページのはじめに戻る

レーザー治療

CO2レーザー

医療用レーザーには、切開の他に「鎮痛」、「殺菌」、「消毒」、「止血」、「消炎」、「治癒の促進」などさまざまな効果があることがわかっています。
人体に対して安全であることは手術で使われていることからも実証されています。
歯科の分野でも

  • ・ 歯周病の治療
  • ・ 色素沈着の除去
  • ・ 切開手術
  • ・ 口内炎の治療
  • ・ 虫歯の治療と予防
  • ・ 知覚過敏症の治療
などに用いられております。
特に抜歯、歯周病やインプラントの手術後にレーザーを照射すると、傷の治りの早さに驚かれることでしょう。
※現時点で健康保険での給付外となっております。



↑このページのはじめに戻る

予防歯科治療

予防歯科 「悪いところを治療する」という発想でなく、「悪くならないように予防する」ことが真の歯科医の仕事だと考えております。定期的なメインテナンスを行ことは、患者さんにとって経済的なメリットだけでなく、健康を維持するというプライスレスの大きなメリットがあると考えます。

↑このページのはじめに戻る

PMTC

バイオフィルム
バイオフィルム
PMTC
PMTC

  皆様はきっと毎日しっかり歯ブラシやその他の道具を駆使して歯のクリーニングをしておられると思います。けれども歯ブラシをしっかりやっても、隅々まで汚れを落とすのは容易ではありません。
まして、歯並びに問題があったり、歯周病にかかっているとなおさらです。
 むし歯・歯周病はプラークが原因で引き起こされる疾患ですが、近年、歯の表面に付着し成熟したプラークは、「バイオフィルム」であることがわかってきました。
このフイルムは、細菌が分泌する多糖体に守られ、強力に付着するため、歯ブラシではなかなか取り除くことができません。 また、他の異物の侵入を拒否する性質があるため、抗菌剤付け薬、うがい薬などの効果も限定的です。
 PMTC(Professional Mechanical Tooth Cleaning)とは、歯の表面のバイオフィルムをプロフェッショナル(歯科医、歯科衛生士)が器具を用いて、効果的に除去することです。
 つまり、むし歯や歯周病の原因である細菌を定期的に取り除くことで、お口の健康を維持しようという考え方です。
 実際になさった方の感想では「まったく痛くなく、病気の予防をして、しかもお口の中がすっきりして気持ちいい」と好評をいただいております。
歯医者さんに気軽にたちよっていただき、『口の中のクリーニングをして下さい。』と言って定期的にクリーニングすることをお勧めします。

クイックジェット
クイックジェットbefore_after
クイックジェット
 さらに強固についた沈着物を塩の粒のような粒子を歯の表面に吹き付けてクリーニングする方法として「クイックジェット」があります。
 どうしても磨き残しのあるお子様から入れ歯を入れてらっしゃる高齢者の方まで、それぞれの方の問題点に合わせたクリーニングのメニューを用意いたしております。一度体験なさってみてはいかがですか。
お気軽にご予約お問い合わせ下さい。







↑このページのはじめに戻る

歯内治療

歯の根っこの先端部 中川寛一 他
現代の根管治療の診断学
クインテッセンス別冊
 むし歯などによって歯髄(歯の中の神経や血管などの組織のことで、一般に神経と説明されている。) まで感染を起こしている場合、感染した歯髄を取り除いて治療することを歯内治療といいます。
歯髄の入っているトンネルは左の図のように、曲がっていたり、複雑にいりくんでいることが多く、細菌や汚染物質を完全に除去することは容易ではありません。
 治療がうまく行かず、再発した場合、今度は歯の外側で、炎症(一般的に化膿していると説明される)が起こります。
こうなると噛んだら痛い、歯茎が腫れる、歯が浮いたような感じがするといった症状が出ます。
そうすると再治療が必要になりますが、再治療はさらに時間がかかるだけでなく、むずかしい治療になります。
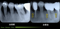
歯の根の治療
当院の治療例クリックで拡大
歯内治療は患者さんにとって、見えないところにもかかわらず、時間や回数がかかり楽な治療ではありません。 けれども、なるべく再発しないよう、信頼できる歯科医で、最後までしっかり治療することが大切です。
また、治療したあとは再発していないか定期的にレントゲンで確認することをお勧めします。

>>>神経を取った歯なのに痛むのはなぜ?





↑このページのはじめに戻る

かみ合わせ治療

かみ合わせ治療とは文字通り歯の噛み合わせを治療することですが、虫歯の治療、知覚過敏、歯周病の治療、顎関節症、インプラント、義歯による治療、すべてに関係する大切な治療であり、当然ですが歯科医しかできません。
もっともその歯科医の実力が問われる治療です。「私が治療すれば肩こりが治る」言ってはばからない歯科医は信用できませんが、基本的な治療をコツコツとやっていると「肩こりが無くなった」とおっしゃっていただけることもあることは事実です。 >>>> お気軽にご予約お問い合わせ下さい。

かみあわせ治療
当院の治療例クリックで拡大

↑このページのはじめに戻る

マウスガード

マウスガード 最近テレビなどで、ボクシング、ラグビー、空手など格闘技の選手がマウスガードをしているところをよく目にします。
これは、マウスピース、マウスプロテクター、マウスガードなどと呼ばれておりますが、本来の目的はスポーツ時のケガから、お口の中や歯を守るという目的で装着する物(スポーツにおける外傷の約50%が「歯」であるという調査結果があるようです。)です。
 最近では野球選手や体操選手なども、食いしばる力で歯が傷まないだけでなく、瞬発力などの筋力をアップするためにマウスピースを装着されるようになっております。 ゴルフをするときに装着すると、飛距離が伸びるということで一時話題になったこともあります。
 マウスガードには大きくわけて市販の既製品と歯科医院で作成するカスタムメードの二種類があります。市販のものは安価である反面、お口にフィットしにくく、あってない靴を履いてスポーツしているようなものです。 カスタムメードのものは、歯型をとり、顎の模型もとに作成しますので、お口によくフィットします。
当院でマウスガードを作成された方は作製時にお渡しした説明書をもう一度ご確認ください。
 良質なマウスカードを使用して、スポーツを安全に楽しみましょう。

↑このページのはじめに戻る

歯周病治療

歯周病治療

歯周病  歯周病とは、「歯に付着した細菌」や「かみ合わせ」によって炎症が起こり、歯の周囲の歯ぐきや顎の骨といった、歯を支える組織が破壊されていく病気です。
  慢性の生活習慣病ですので、進行すると治療が複雑になるだけでなく、進行を食い止めることすら難しくなります。
歯周病にかかっているかどうか一度歯科医院で歯周病の検査をしてもらい、軽度のうちに治療を開始することが大切です。

歯周治療
歯周治療とメインテナンスで ずいぶん歯茎が引き締まり、しっかりしてきました。患者さんの自己管理と、PMTCや定期健診のような術後管理がうまくいってはじめて成功といえます。 継続的な管理が大切なのは高血圧や糖尿病と似ています。
歯周治療
進行した歯周病の場合、 歯周病の治療はもちろんですが、再生療法、レーザー治療、矯正治療、咬合治療、審美歯科治療と総力を結集させることが求められます。
当院での治療例(クリックで拡大)
歯周病治療の第一段階は 歯ブラシや歯間ブラシを使ったご家庭でのケアの仕方を確認したり、歯石を取ったりするお口のクリーニングが中心になります。
したがって、患者さんの歯周病の進行度、炎症の重症度により治療にかかる回数は変わります。

 進行した歯周病の場合、お口のクリーニングだけでなく、「かみ合わせの治療」や あっていない修復物(治療してかぶせたり詰めたもの)のやり直しなど総合的に行う必要があります。
治療後も、再び再発したり、悪化しないよう御自身の毎日のお手入れはもちろんですが、 定期的に歯科医院でPMTCなどのクリーニングを行い、清潔なお口を維持することが大切です。

歯周病は 早期発見できればむし歯と違って改善することが可能です。
歯周病が進行する前に検診と御自分に最適な予防プログラムを作成してもらいましょう。
すでに歯周病になっている方はもちろん、まだ歯周病にかかっていない方も、 歯科医院で継続的にケアしてゆくことをおススメします。お気軽にご予約お問い合わせ下さい。

歯石を取ったり基本的な治療はもちろん健康保険で治療可能ですが、一部の治療は保険適応外になる場合があります。
PMTCは近年海外でも推奨されており、効果を挙げている様な予防プログラムは残念ながら現在の保険制度では認められておらず、自由診療になります。


>>>もっと詳しくお知りになりたい方は(PDFファイル)
>>>Q:歯周病は治りますか?
>>>お口の健康おすすめグッズ

↑このページのはじめに戻る

再生療法

再生治療
クインテッセンス出版 ニコ2007年4月号
再生治療
当院の治療例クリックで拡大
 近年の医療の進歩は目覚しいものがあります。その中のひとつに「再生療法」があります。 皆様もテレビなどでお聞きになったことがあるのではないでしょうか。
 歯科治療の分野でもエムドゲイン、GTR膜など新しいマテリアルが紹介され、再生療法が可能になりました。 また、レーザーを照射することで再生がより多く起こることがわかってきました。
しかしながら歯科の分野における再生療法は現時点では決して100%成功する魔法の薬や方法ではありません。 症例によっては、昔なら助からなかった歯を助けることができるようになったのは事実であり、今後更なる進歩が期待される分野です。
当院においてもインプラントや歯周病の治療に再生療法を応用いたしております。詳しくは歯科医師やスタッフにお尋ねください。





↑このページのはじめに戻る

審美歯科

審美歯科

審美歯科 近年、社会生活を送る上で口元の見た目が重要、とお考えになる方が大変多くなってきています。  審美歯科治療というと、白いかぶせ物やホワイトニングをイメージしがちですが、我々はそれぞれの患者さんの「健康美」を患者さんとともに創造していきたいと考えております。 それぞれの方の考える、「見た目の美しさ」というものは、個人の健康観、社会的環境によってそれぞれ異なります。  例えば、前歯が少し出ている方がいたとします。その歯そのものはむし歯がなくきれいであれば、個性的で魅力的と考える方もいらっしゃると思います。 一方気になって治療を希望される方もいらっしゃいます。  審美歯科治療は近年特に進歩している分野で、様々な治療法、使用するマテリアルが開発されています。 時間をかけて矯正治療を行う方法や、ラミネートべニア、削ってセラミックをかぶせる方法などいろいろな方法が考えられます。それぞれの治療法のメリット・デメリットをよく理解して、御自分の審美観にあった治療法を選択しましょう。お気軽にご予約お問い合わせ下さい。

きれいな歯
健康であること、自然であることがもっとも美しいと考えています










ラミネートべニア
ラミネートべニア
ネイルような薄いシェル状のセラミックを歯の表面に貼り付ける治療法です
右上の側切歯はメタルボンドクラウンで修復しています。
接着剤の進歩により歯をほとんど削ることなく修復できるのがメリットです。
オールセラミック
オール・セラミック
オール・セラミック・インレーとオール・セラミック・クラウン
金属を除去してセラミックに置き換えました。
完全にセラミックのみで修復しますので、歯が本来持っている自然な感じが表現できます。
金属アレルギーの患者さんには一切金属を使用しない治療法としてお選びいただけます。
メタルボンドクラウン
メタルボンド・クラウン
見えないところは金属で強度アップをはかり、見えるところはセラミック(陶材)を焼き付けています。
患者さんの希望で、周りの歯に調和した自然な感じで作りました。
歴史のある治療法ですので安心して選択していただけます。見た目も十分満足いただけると考えます。
当院での治療例(画像クリックで拡大)
































↑このページのはじめに戻る

ホワイトニング

ホワイトニングトレー ホワイトニングとはお薬を歯の内部まで作用させて「科学的」に歯の色を本来の色よりも白くするすることを 目的としています。

ホワイトニングにはその方法によって、オフィスホワイトニングとホームホワイトニングに別けられます。


○ホームホワイトニング

  歯科医院で「トレー」という左の図ような器具を作成いたします。ホワイトニングジェルをご購入いただき、御自宅でお好きな時間に行う方法です。
※お口とのフィットに問題があるトレーでは十分な効果が得られないことがあります。
ホワイトニングジェルは新鮮さが命です。製造後時間が経過していないフレッシュなジェルを使用しましょう。

○オフィスホワイトニング

  歯科医院でより高濃度のお薬を用いて行う方法です。

歯の表面のプラークなど汚れを除去するPMTCや歯の表面のステイン(紅茶やワインなどによる沈着物や着色)を除去するクイックジェットなど、患者さんの希望に合わせたメニューを用意しております。
それぞれメリットとデメリットがありますので詳しくは歯科医院でお尋ねください。


 また、メラニン色素の沈着による歯ぐきの黒ずみも患者さんによってはきれいにすることができます。
お気軽にご予約お問い合わせ下さい。

ホワイトニング ホームホワイトニング:当院での治療例(クリックで拡大)
マイルドお薬で、知覚過敏などのトラブルが起こりにくいようです。
就寝中にもできますので、時間を有効に活用できます。












↑このページのはじめに戻る

矯正治療

矯正治療

歯並びに問題があると見た目が気になるだけでなく、よく噛めない、むし歯や歯周病にかかりやすいなど、様々な障害がおきやすくなります。
>>>>不正咬合の代表的なパターン
1本だけ歯を動かす治療(MTM)から全部の歯を長期間かけて移動させるものまで歯を動かして治療することを歯の矯正といいます。
矯正治療は患者さんの症状の程度や年齢、希望とされるゴールなどによって、例えば取り外し式の装置であったり、固定性の装置であったり、様な方法があります。また治療期間も異なります。
何が問題で、どこまで治療したいのか主治医の先生とよく相談して治療を開始しましょう。
治療開始の時期もできるだけ早く取り掛かったほうが良い場合や患者さんによって異なります。また、受験や転勤、就職などその方の社会的な状況も考慮に入れないといけません。
まずは御相談されることをお勧めします。お気軽にご予約お問い合わせ下さい。

近年、患者さんの矯正治療を行う主な動機は「キレイになりたい」ではないでしょうか。
矯正治療の成功のポイントは

  • ・ 取り外しできる矯正装置でもドクターの指示通り装着する
  • ・ 歯磨きをいつも以上にしっかり行ない治療中に虫歯を作らない
  • ・ 適切な治療間隔で装置を調整する
  • ・ 最後までやり通す
つまり患者さんの頑張りにかかっています。
美しい歯並びを目指して一緒に頑張って生きましょう。

矯正治療 前歯の歯並びの改善が患者さんの御希望でしたが、奥歯までブラケット(矯正装置)を装着しました。 あくまでも患者さんの希望次第ですが、そのほうがきれいに仕上がる場合があります。
マルチブラケット
当院での治療例(クリックで拡大)
歯並びに問題があり、口を閉じることができずに大変気になさっていた患者さんです。 ブラケット(矯正装置)を装着して治療しました。 治療後患者さんには大変喜んでいただきました。






















MTM

前歯だけなどに限られた歯並びの乱れを改善したり、より美しい歯を作るために行う簡単な矯正 をMTMといいます。
目的によって装着する装置は色々です。本格的な矯正ではありませんので、治療期間などは随分短くて済みます。
お口の検査をしたうえで、治療計画を立てていきます。 お気軽にご予約お問い合わせ下さい。

リンガルアーチ 当院での治療例(クリックで拡大)
ちょっとした”ボタンの掛け違え”でしょうか、上の前歯が下の前歯より後ろに位置してしまいました。
リンガルアーチという矯正装置を用いて咬み合わせを改善しました。
アゴの生長完了前の早い時期に開始しましたので、患者さん本来のアゴの成長でキレイになりました。
Eruption
当院での治療例(クリックで拡大)
矯正的挺出」という治療は
  1. 通常の治療では抜歯になる歯を助けるため
  2. 歯周病を改善して清掃しやすい環境にするため
  3. 歯根破折(歯が割れること)を防止するため
  4. インプラントをしやすいように骨を増生するため
を目的に行う矯正治療です。

この患者さんは
かみ合わせの問題(下の歯が上の歯を突き上げている)から、右上の中切歯が折れています。
この歯を抜歯せずにしかも長持ちするよう「矯正的挺出」という治療を行いました。(下の歯も矯正治療を行いました)
























↑このページのはじめに戻る

歯の再植手術

歯の再植手術とは、抜歯しないといけない時に、親知らずなど機能していない歯を抜いて、抜歯した歯の部分に移植してあげることで活用する方法です。
歯根膜という自分の歯の組織を利用して歯と骨を結合させる方法です。

歯の再植
当院での治療例(クリックで拡大)
親知らずの手前の歯が保存不能になりましたので、 その歯を抜歯した場所に奥の親知らずを移植しました












↑このページのはじめに戻る

入れ歯

健康保険の入れ歯は他の先進国と比べ安価で装着できるメリットがありますが、デメリットとして、
○ プラスティックの厚みがあつく違和感が強い
○ 留め金がめだって見た目が悪い
○ 歯がすぐにすり減る
○ ガタついてしっくりフィットしない
などが挙げられます。
健康保険では使用する材料や製作方法などルールが厳密に規定されており、それから外れることは認められておりませんが、患者さんに応じたオーダーメイドの義歯(総義歯)は自由診療では可能です。
当院ではこのような患者さんの問題点を解決すべく、部分入れ歯でも、総義歯でもさまざまなオプションを用意しています 。お気軽にご予約お問い合わせ下さい。

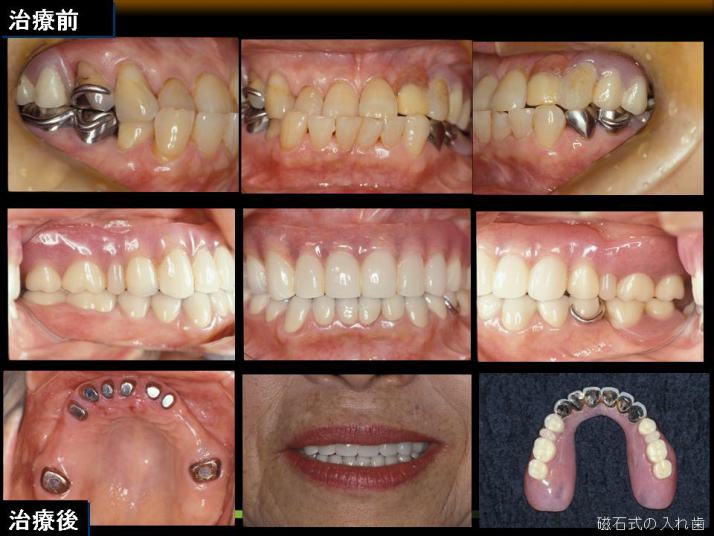
磁石式入れ歯

オーダーメイドの義歯の一例として磁石義歯(磁性アタッチメント義歯)が挙げられます。
残っている自分の歯やインプラントに磁石と相性のいい金属を、入れ歯のほうに超小型磁石を取り付けることで、 磁力によりガタつきのないぴったりとフィットする入れ歯です。 (残念ながら保険適応外です)
さらに詳しくは>>パンフレット1
         パンフレット2

磁石義歯 噛み合わせの問題で入れ歯がありましたが、磁石の入れ歯で改善しました
磁石義歯
当院での治療例(クリックで拡大)
御自分の歯とインプラントに磁性アタッチメントを応用した症例





















↑このページのはじめに戻る

インプラント

 ヘルシー&エステティックな志向が高まり、歯の美容にも関心が高くなっています。 皆様のQOLへの要求は高まっていますが、歯を失い入れ歯をご経験の方で、お口の不具合が原因であきらめてらっしゃることがありませんか。
「もっと自然に会話や食事がしたい。」
「気持ちよく笑って、生活を健康、快適で豊かなものにしたい。」
「 若々しい口元と健康な歯を取り戻したい。」
「 入れ歯の不快感、不便さから開放されたい。」
ご自分の歯に近い歯がないかとお考えの方にご案内したいのがインプラント治療です。インプラントは第二の永久歯ともいわれ、入れ歯にかわる新しい歯として研究され、現在世界中の多くの方にご満足いただいている治療法です。
*健康保険は適応されませんが、医療費控除の対象となります

インプラント

 インプラント治療は CT撮影など綿密な検査の上で、治療計画を立てて手術を行う必要があります。
同時に噛み合わせの治療やや歯周病の治療、かぶせる修復物の精度など総合的な治療が必要です。
また、治療後のメインテナンスも基本的にインプラントを埋入した歯科医医院で受けましょう。まさに歯科医院の総合力が問われる治療がインプラントです。信頼できる歯科医から、治療内容や費用を十分説明を受けてから治療に取り掛かりましょう。

お気軽にご予約お問い合わせ下さい。

>>>インプラントとは 

>>>インプラント治療の御案内 

>>>よくある質問にお答えします

前歯のインプラント 前歯にインプラントを埋入しました。 前歯のインプラントを美しく仕上げるためにはインプラントの技術だけでなく、 再生療法など様々なテクニックが求められます。隣の歯を削らずに済みました。
上顎奥歯インプラント
当院での治療例(クリックで拡大)
上あごにインプラントを埋入するのに十分な骨がありませんでした。まずインプラントが埋入できる骨を造成してインプラントを植立しました。
インプラントを埋入だけでなく、歯周病の治療、噛み合わせの治療、といった病院の総合力が要求されます。




















↑このページのはじめに戻る